【摘要】目的采用两种方法建立beagle犬心肌梗死动物模型并比较其效果。方法将30条Beagle犬随机分成三组,每组10条。①假手术组,开胸后剪开心包腔,不结扎冠状动脉。另外两组在电视胸腔镜辅助下用钦夹夹闭犬左冠状动脉前降支血管,②微创直视组,在胸骨左缘第3肋间开3. 0 cm小切口,光源和操作器械均由此孔进人胸腔。③胸腔镜组,采用左侧第3肋间锁中线开孔1.0 cm,作为探测孔,电视胸腔镜由此进人胸腔,在第3肋间胸骨旁线及第4肋间锁中线处各开0. 5 cm小孔作为操作孔,宠物手术器械由此进人胸腔。造模后,测定心电图和血清肌酸激酶同工酶(CK-MB )和肌钙蛋白I (cTnI )含量变化,采用HE染色了解各组的心肌病变情况。记录手术成功率、从皮肤切开开始到关胸所需要的时间和伤口愈合时间。结果与假手术组比较,两组动物出现明显的心肌梗塞改变(心电图st段抬高,血清CK-MB和cTnl水平增加,心肌缺血坏死纤维化,心肌细胞减少)。两种造模方法的犬存活率达90%,微创直视法所需时间明显较少,胸腔镜法切口愈合时间较短。结论微创手术建立的心肌梗塞模型,动物创伤小,死亡率低,是一种研究心肌梗塞病理生理机制的理想模型。
近年来,微创手术作为一种成熟技术在宠物腹部和宠物胸部外科领域应用越来越广,已有研究者将微创技术引人动物模型的制造,在心肌梗塞模型制备中,出现了电视胸腔镜辅助下制作猪和犬的心肌梗死模型[1.2]。我们在分析了这些方法的基础上,结合自身实验的体会,比较了两利,微创Beagle犬心肌梗塞模型,为心肌梗塞研究的模型制造提供参考方法。
1材料和方法
1. 1仪器与试剂
RM-6000型多导生理记录仪(日本Kohden公司);全自动生化分析仪,日本日立公司产品;Aeon7200A呼吸麻醉机(上海寰熙医疗器械有限公司)。胸腔镜一套,杭州桐庐医疗光学仪器有限公司。Amersham ILnager 600多功能成像仪(美国GE公司), RM2235切片机(德国徕卡(莱卡)公司),DM4000 B显微镜(德国徕卡(莱卡)公司)。
氯化硝基四氮哇蓝染色液(N-BT,批号:201506)(南京建成生物工程研究所);肌酸激酶
MB同工酶(CK-MB,批号:171036/50003007))试剂盒(德赛诊断系统(上海)有限公司);肌钙蛋自测定试剂盒(合肥博美生物科技责任有限公司,批号:201507)。
1.2实验动物及实验环境
健康雄性纯种比格犬30只,体重10 -20 kg,购于福建振和实验动物技术开发有限公司提供,生产许可证:【SCXK(闽)2012一00021,质量合格号:35002100000059。动物实验在浙江省医学科学院实验动物部完成SYX K(浙)2012一0176。室温20 C一250C,相对湿度40%一70%。单笼饲养,给予自由进食和饮水,平衡饮食I周后随机分组进行实验
1.3动物实验
1.3. 1分组:30只比格犬随机分为3组,每组10只。(1)假手术组,胸骨左缘第3肋间开胸后剪开』合包腔,不结扎冠状动脉。(2)微创直视法组,在胸骨左缘第3肋间切口长约3.0cm,电视胸腔镜和操作器械均由此孔进人胸腔,在直视下用钦夹夹闭犬左冠状动脉前降支血管。(3)胸腔镜法组,采用左侧第3肋间锁中线开孔1. 0cm,电视胸腔镜由此进入胸腔,在第3肋间胸骨旁线及第4肋间锁中线处各开0.5cm小孔作为操作孔,操作器械分别由此进人胸腔,在电视胸腔镜辅助下用钦夹夹闭犬左冠状动脉前降支血管。
1.3.2动物模型的建立:参考相关文献造模(2],称重比格犬后,在前肢皮下静脉注射3%戊巴比妥钠(给药剂量I /mL. kg),麻醉后置于手术台上,以左侧卧位固定。在犬后肢建立静脉给药通路,连接肢导II导联,监测心电图,将单腔气管插管插人犬气管,连接呼吸机,建立无创气道通路。根据分组情况在相应位置开孔,进行手术操作。在左心耳搏动明显处心剪开心包,找到冠脉前降支,在中上部分钳夹一钦夹,接着逐层缝合肌肉皮肤,据犬心电图ST段抬高和结扎部位以下心肌变自判断心肌梗死模型制作成功。手术完成后观察30 min,无异常后,鼓肺,逐层缝合切口,关胸、吸痰,待动物苏醒后拔除气管,观察30 mit、各项生命指标无异常后常规检测各项生理指标及采集标本,检测完毕后送返动物观察室。术后前3 d,每日肌注青霉素240万U,以后常规饮水进食,饲养4周后处死取材。手术后3h和处死前取血,制备血清,- 20℃保存备用;处死动物取心脏,取结扎部位以下的部分组织切片,用0.5%氯化硝基四氮哇蓝(N-BT)染色液染色,取心肌梗死周边部位心肌保存于10%甲醛溶液中,进行病理组织学检测。
1.3.3监测ECG:术后在4个时间点(结扎前、结扎后一011,3h,28(1)监测ECG,测量各点ST段值。ST段)0. 1 mV以上为ST段抬高,表明心肌有缺血,实验根据此指标的变化可以动态了解心肌梗死发生的大致位置、程度以及恢复情况。
1. 3. 4 血液各项生化指标检测: 用全自动生化仪和试剂盒测定血清肌酸激酶同工酶(CK-MB), 肌钙蛋白IcTnI)。
1. 4 统计学方法
实验数据以均数± 标准差(-x ± s)表示。双侧t检验进行组间显著性分析, P <0. 05 表示差异有统计学意义。
2 结果
2. 1 一般情况及手术存活情况
犬术后2 ~3 h 苏醒,6 h 仍精神萎靡, 半卧位,不能自主进食, 多数有呼吸急促、紫绀及呕吐表现, 12 h 即能行走, 能舔食流质饮食, 基本没有异常表现。术后存活情况,假手术组10 只均存活, 微创直观法组9 条存活,1 条死亡, 死亡原因为术中室颤; 胸腔镜法组9 条存活, 1 条因术后复苏时氧气不足而死亡,三组手术的犬术后存活率差异没有显著性(P >0. 05):。
2. 2 从皮肤切开开始到关胸所需要的时间及术后伤口愈合情况假手术组、微创直视组和胸腔镜法组三组手术时间分别为(40. 7 ± 3. 5) min、(15. 5 ± 2. 6) min、(30. 8 ± 4. 2)min,微创直视组所需时间明显较少(P <0. 01)。术后伤口愈合情况,假手术组(10. 5 ±2. 5)d 后愈合,微创直视组(5. 3 ±1. 4)d 愈合,胸腔镜法组(3. 2 ±1. 5)d 愈合。两种微创手术的恢复明显比开胸手术快(P < 0. 01),二者之间的差异不显著。
2. 3 心电图变化
三组动物在术前ECG 基本一致,ST 段变化在正常范围,术后,假手术组没有阻断LAD, ECG 在各时间没有明显变化,而微创造模组均阻断了LAD,心肌缺血,结扎术后各时问段查心电图, 以II 导联为标准, 进行对照, 可以看到早期典型的梗死心电图改变(图1)。结扎后10 min 心电图可见ST 段抬高, 部分导联达0. 5 mV;21. 5 倍,19,8 倍, 3 h ST段明显回落, T 波高尖与主波方向一致8 倍,8,5倍; 术后28 d 下降更明显,偶有T 波倒置4. 7 倍和5. 1 倍。但ST 段均比假手术组高(P <0. 01),说明缺血仍然存在,(P <0. 01)(表1)。




注:A 是假手术组;B 是微创直视组;C 是胸腔镜组。
图2 心脏N- BT 染色病理结果

注:A 是假手术组;B 是微创直视组;C 是胸腔镜组(标尺=100 μm)。
图3 心脏HE 染色的病理改变

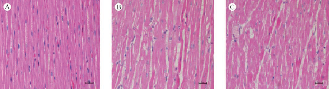
注:A 是假手术组;B 是微创直视组;C 是胸腔镜组;标尺=10 μm。
图4 心脏HE 染色的病理改变
2.4比格犬血清CK-MB和cTnl的变化
假手术组在术后6 Ii, CK-MB值比术后21 (1高近1倍,说明手术对CK-MB有影响,而。Tnl没有变化。与假手术组相比,心肌梗死组血清CK-MB和cTnl含量在术后6 Ii均显著增加,分别为3.6和3.8倍和131.5和126.2倍,(P<0.01),术后21d,三组结果基本一致(表2)。
2.5大体形态和组织病理结果
由图2可以观察到心脏的大体病理表现:对照组肉眼下,观察心脏大体情况和N- BT染色结果,假手术组心脏表面光滑,各区域颜色一致,没有发现心肌梗塞病变;而两种手术组在夹闭血管周围有点状出血灶,梗死区心脏颜色变白,表面有白色纤维增生,N- BT染色相应区域染色变淡,有明显的纤维化区域,提示发生了较大面积的心肌梗死(P<0.01)(图2)。
HE染色结果显示:假手术组心肌细胞包膜完整、排列规则、细胞间隙均匀,肌纤维完整、走向一致。两种手术组均可见前降支血管旁心肌细胞排列紊乱、纤维浊肿断裂、空泡变性,心肌纤维变性坏死、纵纹及横纹消失,细胞核数量明显减少(图3,4)。
3讨论
犬的心脏解剖特点决定了其适合用于制作心脏疾病模型,但由于成本的原因,很多研究常常采用杂种犬〔3],但杂种犬的来源和遗传背景复杂,获得的实验数据偏差大,有时会影响结果判断。而Bea妙C犬由于品利,固定,遗传稳定,实验结果稳定,被国际公认为是经典的实验动物冈。因此,我们拟用Beagle犬作为实验对象进行心肌梗塞研究。
经典的心肌梗塞模型主要开胸结扎冠脉左前降支,随着外科领域的发展,传统的大切口手术模式正逐步减少,新兴的微创手术应用越来越广泛[5]。现代电视胸腔镜就是这样一门全新的微创胸外科技术,借助高精度光学和影像技术以及精良的外科工具只需在胸壁打I一3个小孔或附加1个2-3cm,的小切口,与常规开胸手术相比,手术创伤小,失血少,疼痛轻,不破坏胸壁的完整性,对心肺功能尤其是肺功能损害小,减少了术后并发症的发生。江佩蓉等[[6]比较了解常规开胸手术和胸腔镜术行肺叶切除术患者影响,结果发现,胸腔镜组术后肺功能的影响小于常规组,认为主要原因是胸腔镜手术减少了开胸手术引起的胸壁创伤、降低了心肺功能损伤、从而保护了肺功能。
本次实验应用了这些技术和设备建立了两种微创心肌梗塞模型,用钦夹夹闭左前降支制作了急性心肌梗死模型,结果均获得满意的效果:心电图ST明显抬高,心肌梗塞血清标志物CM-KM和cIN增加,两种手术组心脏梗塞区出现心肌坏死,纤维变性、细胞减少。两种手术的成功率均很高,达到90%以上。在术后伤口愈合方面,我们发现了明显差异,假手术组10d后愈合.微创直视组5d愈合,胸腔镜法组3d愈合。这些结果说明了这两种技术造模都是成功的,但在创伤对模型的影响方面,微创能尽快恢复,而传统手术(假手术组)创口恢复明显晚很多,动物的自身活动明显受限,这对实验的后期影响较大。我们比较这两种微创手术,没有看到二者在手术效果上有明显差异,但在手术操作时间中发现了一些差异。微创直视法,所有的设备在同一孔进行,操作过程的手术器械比较容易定位,虽然空间局促,但钦夹钳操作能够顺利完成这个手术操作时间比较短,操作技术容易掌握,在熟练的情况下,可以不需要连接呼吸机,就可以完成手术,只是开口相对较大,伤口愈合慢一些,这个手术和传统的开胸不同,它需要专业的冷光源照明胸腔内环境,外部直射光是不能完成这个任务的,另外手术器械需要专门微创手术器械,刁‘能达到在小的手术视野完成手术。胸腔镜法,胸腔镜和宠物手术器械分别由不同的孔进人胸腔,每个孔开的比较小,一般不超过lcm,所以术后愈合很快,甚至有些孔不需缝合.但这个手术的技术要求比较高,对专用宠物手术器械操作要求熟练,另外,电视图像与胸腔操作同步性需要较长的适应期,所有的这些造成手术时间比较长,因此,气管插管又是比较关键的技术,必须保证在呼吸机通气的情况下刁‘能维持手术过程,而肺泡的舒张影响手术视野,那么只有进行右侧单肺通气,这要求更高的气管插管技术,但这个手术的优点是除了创伤小,由于宠物手术器械腾拉空间大,还有可进行长时间的精细手术。
总之,我们用两种微创手术成功制作了心肌梗塞模型,为心肌梗塞的研究提供了两种参考方法,两种方法各有其优点.但均是对动物机体影响较小的方法,甚至均可多次进行胸腔手术。至于用哪一利,模型造模更好,主要根据各实验的要求和实验室设备情况,选择合适的方法。
上一篇:宠物牙科疾病如何预防
下一篇:马牙齿的结构及拔牙的方法



