摘要:采用常规组织学方法观察和测量斯氏紛鼠棕色田鼠(Mcrottw wKiWunViMj)和昆 明种小白鼠简称小鼠)肾脏的显微结构。结果表明:皮质与髄质的厚度比在三种鼠中有差异,其大 小依次为:斯氏鼢鼠〉棕色田鼠〉小鼠;皮质迷路内近曲小管与远曲小管的数量比在三种鼠中也不相同,斯氏鼢鼠 为1.92: 1,棕色田鼠为1.77: 1,小鼠为2.11 : 1;三种鼠肾小囊腔的腔隙从小到大依次为:小鼠、棕色田鼠和斯氏 鼢鼠。上述结果表明,小鼠肾脏重吸收能力大于棕色田鼠和斯氏鼢鼠,与它们的生境和食性密切相关。
肾脏是动物调节水代谢平衡的主要器官。根据结构和功能统一、有机体和环境统一的原则,啮齿类肾脏 结构及其泌尿机能必然与它们的生活环境密切相关。有关啮齿类动物肾脏结构及其功能的研究主要局限在少数 几种生活在极端环境中的种类[1_4]。本文对斯氏齡鼠)、掠色田鼠(Mcro如mandarinus) 和实验用小白鼠)的肾脏做了显微结构方面的系统比较研究。这三种啮齿类分别代表了地 上(小鼠)、地下(斯氏鼢鼠)和半地下(棕色田鼠)三种不同的生境。结果报道如下。
材料与方法
1.1材料
用于实验的成年斯氏鼢鼠采自陕西宁陕旬阳坝;成年棕色田鼠采自河南灵宝;成年小鼠购于西安交通大 学医学院动物实验中心。
1.2方法
(1)小鼠引颈处死,棕色田鼠和斯氏鼢鼠用4%多聚甲醛灌流固定致死。迅速摘取两侧肾脏,即刻固定 于Bouin氏液中,待固定2〜3小时后,再用刀片依肾的长径将皮质切去一部分,继续固定48h以上。梯度酒 精脱水,二甲苯透明,石蜡包埋、切片6fzm,H-E染色。
(2)OLYMPUS BH-2显微镜观察,在15X40倍镜下以正中额状切面上的一个视野为单位统计数据,一 个视野的实际面积为2. 619X10—3mm2。每只鼠随机取10个视野记数,然后取平均数。
(3)所需数据用测微尺测量,数据用SYSTAT程序处理。
(4)OLYMPUS BH-2显微镜摄影。
2结果与分析
2. 1 形态观测
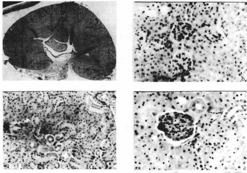
在肾脏固定标本的正中额状切面上(图1-a),虽然三种鼠皮质与髓质的界限均较为模糊,但可分辨出深 色的皮质与浅色的髓质。三种鼠皮质与髓质的平均厚度比各不相同,存在差异,其中小鼠为1.45 : 1,棕色 田鼠为1.57 : 1,斯氏鼢鼠为1.60 : 1。肾盂周围的脂肪组织含量由多到少的顺序为:斯氏鼢鼠>棕色田鼠>小鼠。
2.2 肾脏的组织结构特征
三种鼠的肾脏组织结构无性别差异。肾被膜均由致密结缔组织构成,肾被膜外层易于剥离,深层有少量 环行平滑肌。
2.2.1皮质部的组织结构特征
三种鼠的皮质部由皮质迷路和髓放线组成。皮质迷路内近曲小管的管腔较小且分布不规则,上皮细胞 多为单层立方形,细胞界限不明显,胞体较大,用伊红染色后,胞质为深红色。远曲小管的管壁细胞界限较清 楚,管腔教大且分布均匀。三种鼠的肾小体一般呈圆形或椭圆形,皮质迷路内近曲小管与远曲小管的截面数 量在三种鼠中有差异(图1)。
2.2.2肾小体的组织结构特征
小鼠肾小体主要分布在皮质浅层和中部,无髓旁肾单位。皮质浅表肾单位的分布密度为34个/mm2,而 中间肾单位的分布密度为20个/mm2。浅表肾单位的血管球与中间肾单位的血管球大小也有差异,前者直 径为46pm,而后者为57pm。肾小囊腔狭窄(图1-b)。
棕色田鼠肾小体在皮质浅层、中部和近髓均有分布。从皮质浅表肾单位到髓旁肾单位,其分布密度呈递 减趋势,其血管球的大小也有差异,浅表肾单位的血管球直径为47Hm,髓旁肾单位的血管球直径58pm。皮 质中肾小体的分布密度浅表大于近髓(表1)。肾小囊腔较为宽阔(图1-c)。
斯氏鼢鼠肾小体在皮质浅层、中部和近髓区均有分布,但被膜下23(Vm以内很少有肾小体分布(图1-e),皮质中浅表肾单位的分布密度略大于髓旁肾单位的分布密度,但其血管球大小没有差异,其直径为 8(Vm。皮质中肾小体的分布密度浅表大于近髓。但棕色田鼠皮质中肾小体的分布密度显著大于斯氏鼢鼠 (表1)。肾小囊腔极宽阔(图1-d)。



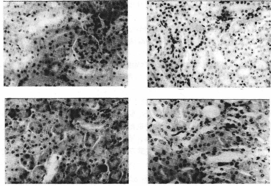
图1三种啮齿类肾脏的显微结构 a棕色田鼠正中额状切面X3.3;b小鼠皮质迷路近浅表处X100 ;c棕色田鼠皮 质迷路近浅表处X100;d斯氏鼢鼠皮质迷路近浅表处X100;e斯氏鼢鼠皮质X50;f 小鼠近髓肾小管X100;g棕色田鼠近髄肾小管X100;h斯氏鼢鼠近髓肾小管X100。
2.2.3皮质迷路的组织结构特征
三种鼠皮质迷路内近曲小管与远曲小管的数量比各不相同,存在较为明显的差异。近曲小管与远曲小 管的数量比的大小顺序为:小鼠 > 斯氏鼢鼠>棕色田鼠(表2,图1 一f,图1一g,图1 一h)。

3.谈论
肾脏是机体新陈代谢过程中所产生的各种代谢终产物和过剩物质的主要排出器官之一。啮齿类动物肾 单位有三种,分别为浅表肾单位、髓旁肾单位和中间肾单位。其髓袢长度变化为浅表肾单位短于髓旁肾单 位,皮质肾单位与水和电解质的调节有关,中间肾单位和髓旁肾单位决定尿浓缩能力[4]。啮齿类动物的原 尿是在肾皮质的肾小体中滤过形成的,之后流经皮质和髓质的各级泌尿小管,经过重吸收和分泌作用,最后 以终尿的形式由乳头管排至肾盂。在此过程中,尿液的浓缩程度在不同啮齿类动物存在差别,这与其肾脏髓 质的厚度有关[5_7]。
三种鼠的肾脏组织结构无性别差异。虽然三种鼠皮质与髓质的平均厚度比各不相同,但都存在相同的 特点:皮质的厚度都比髓质的大,皮质与髓质的平均厚度比大约为1.50: 1。此外,三种鼠的肾盂周围均含 有脂肪组织,其中斯氏鼢鼠的含量最大,小鼠的含量最小。
三种鼠的皮质部由皮质迷路和髓放线组成,皮质迷路有近曲小管、远曲小管、肾小体等结构,髓放线内有 集合小管、近端小管直部和远端小管直部。各种泌尿小管间有少量疏松结缔组织构成间质,间质内有丰富的 毛细血管。髓放线较为明显,肾小囊腔隙较大,髓旁肾单位分布于髓放线两侧,较为集中。髓质部的直行泌 尿小管中远直小管占大多数,细段其次,集合小管比例最小。
斯氏鼢鼠终生地下生活,生活环境和所吃的食物均含水较多。斯氏鼢鼠肾为单乳头肾,表面光滑,不分 叶。其皮质较髓质的厚度大,皮质中髓旁肾单位相对分布密度小于浅表肾单位的相对分布密度,髓旁肾单位 中的血管球直径大于浅表肾单位中的血管球直径。
棕色田鼠营半地下生活,生活环境也比较潮湿,所吃的食物与斯氏鼢鼠相仿,主要以植物地下根、茎为 食,其皮质与髓质的厚度比为1.57 : 1;这说明斯氏鼢鼠与棕色田鼠的髓质均相对较狭窄,对水的重吸收 较少。
小鼠是地上生活种,生活环境相对较干燥,所吃食物的含水量也比其余两种少,其皮质与髓质的厚度比 为1.45 : 1,说明小鼠的髓质较其余两种相对宽,对水的重吸收也较多,这都与其生活环境与食性相适应。
小鼠肾皮质中大部分肾小管断面为近曲小管,而远曲小管较少。说明小鼠的近曲小管较长,对原尿的重 吸收能力较强。而棕色田鼠和斯氏鼢鼠肾皮质中近曲小管与远曲小管的比例比小鼠明显下降,显示出这两 种鼠类的近曲小管较短,对原尿的重吸收能力也不及小鼠。
棕色田鼠与斯氏鼢鼠的生活环境非常相似,食性也相仿,但其肾小体的密度却有显著差异,棕色田鼠明 显大于斯氏鼢鼠,这可能和日食量与体重比成正相关。斯氏鼢鼠平均日食量为105g,平均体重为312. 65g, 其日食量与体重比为0.34 : 1;而棕色田鼠平均日食量为15. 6g,平均体重为27. 37g,其日食量与体重比为 0. 57 : 1«。关于这一点推测有待进一步研究。
上一篇:SARS啮齿类动物模型
下一篇:传统马业与现代马业



